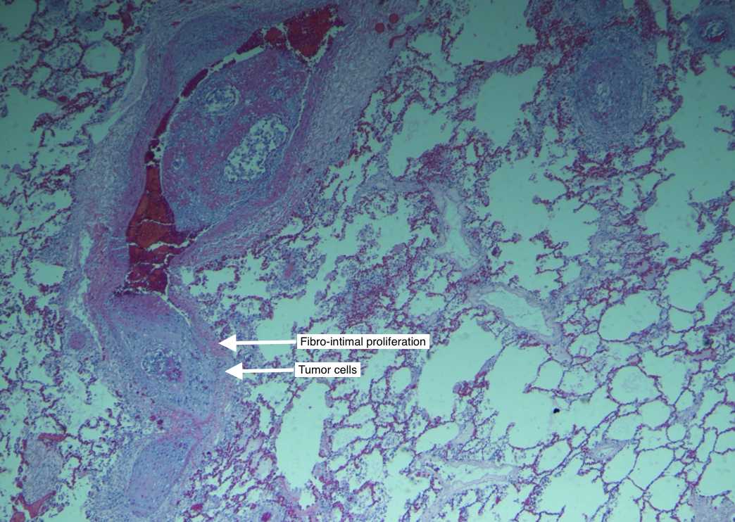
Case Presentation: A 30-year-old obese male presented with 3 weeks of cough with hemoptysis, recent episode of syncope and decreased exercise tolerance for 6 months. Vitals in the ED: BP 134/84, HR 108, RR 18, Temp 98.1, SpO2 95%. Physical exam was normal. EKG showed TWI in v1-v4, bedside echo showed a dilated RV, labs showed troponin 0.704, BNP 363.7, D-dimer >20, LDH 328, ESR 108, CRP 83.9. CXR was unremarkable and pulmonary CTA-Dopplers were negative for PE/DVT but showed alveolitis and centrilobular nodules. Infectious and autoimmune workup was negative. TTE showed PASP 83 and RV dilation; V/Q scan showed low probability for PE. He had 3 more episodes of syncope with worsening dyspnea and a rising troponin. He was then transferred to the ICU, started on heparin drip for possible PE versus an NSTEMI and started on HFNC for hypoxic respiratory failure. RHC was suggestive of isolated RV failure. He was subsequently started on Dobutamine, Epoprostenol and inhaled NO. However, the patient went into PEA arrest and passed away despite resuscitative efforts. His autopsy found acute circulatory and respiratory failure secondary to Pulmonary tumor thrombotic microangiopathy (PTTM), RV hypertrophy and failure, and poorly differentiated gastric adenocarcinoma with metastases to mediastinal, perigastric and para-aortic lymph nodes.
Discussion: Pulmonary tumor thrombotic microangiopathy is a rare but devastating complication in advanced metastatic cancers wherein tumor cells embolize into pulmonary arteries and induce activation of the coagulation cascade with intimal proliferation within small pulmonary arteries. Herbay et al first described a 3.3% prevalence of PTTM in 630 cancer autopsies with gastric adenocarcinoma being most commonly associated. It usually presents as acute or subacute dyspnea with hypoxia and rapidly progressive Pulmonary Artery Hypertension (PAH) leading to cor pulmonale. Bloodwork is usually non-diagnostic, with non specific elevations of D-Dimer and LDH. Imaging is mostly negative, although CT may show dilated pulmonary arteries ,V/Q scan may reveal peripheral perfusion defects, and FDG PET scan may show uptake in lungs, however, smaller tumor deposits are likely to be missed. Histological diagnosis may be obtained via lung biopsy or pulmonary artery catheter blood aspiration. While PTTM remains primarily a post-mortem diagnosis, there have been a few cases where early diagnosis and treatment with pulmonary vasodilators, chemotherapy and anticoagulation has led to survival in months to years. In most of these cases, patients had known cancer, however, cor pulmonale as the first clinical presentation is extremely rare.
Conclusions: In patients with rapidly progressing hypoxic respiratory failure secondary to Acute Pulmonary Hypertension without a clear cause, Pulmonary Tumor Thrombotic Microangiopathy from an occult malignancy should be considered.
.jpg)