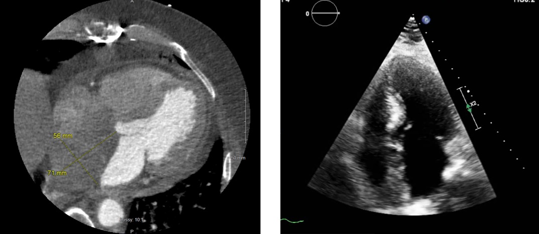
Case Presentation: The patient is a 64-year-old male, BMI 35.6 kg/m2, with a history of diabetes mellitus II, hypertension, hyperlipidemia, and recent CAD after syncope, who was under going CABG. A cardiac tumor was incidentally found intraoperatively (Figure 1). The pre-operative transthoracic echocardiogram (TTE) was negative for signs of tumor (Figure 2), however, when it was visualized during surgery an intraoperative transesophageal echocardiography (TEE) confirmed the mass. Postoperative cardiac CTA (Figure 3) depicted a large, non-enhancing mass measuring 8 x 5.5 cm. This mass filled the entire right atrium, producing mass effect on the left atrium, extending into the superior aspect of the right ventricle and potentially infiltrating the IVC. Cardiac biopsies obtained intraoperatively revealed cells with marked nuclear pleomorphism and increased mitotic figures. They stained positive for pan keratin, vimentin, Factor VIII, CD31, and CD34, consistent with a diagnosis of high-grade angiosarcoma. A repeat TTE after diagnosis of the tumor again failed to identify the mass. While awaiting palliative chemotherapy, the patient had numerous readmissions over the next two months for recurrent shortness of breath due to fluid overload. He eventually passed away within 2 months of the initial diagnosis.
Discussion: TTEs, with 75% sensitivity, are commonly perceived as the initial diagnostic tool for cardiac malignancies. As demonstrated in this case, repeated TTEs all failed to identify our patient’s large intracardiac mass, which raised concern regarding its validity on obese patients. TEEs, despite having 97% sensitivity and identifying the cardiac angiosarcoma, are not generally used in an effort to pursue more cost-effective medicine and avoid an invasive procedure.
Conclusions: This case shows the weakness of TTE. We hope that research be conducted to assess the sensitivities of TTEs in patients with elevated BMI greater than 30 kg/m2. Our patient’s body habitus made the TTE a technically difficult exam. Despite the high sensitivity of TTEs for the general population, it may be beneficial to screen obese patients with TEEs.

