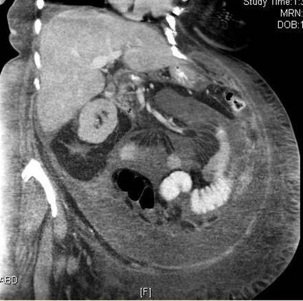
Case Presentation: A 58 year old female with past medical history of microcytic hypochromic anemia and thrombocytosis presented with progressive abdominal distention and pedal edema of 5 months duration. There was no significant history of asbestos exposure.Initial diagnostic paracentesis and peritoneal fluid cytology was negative for malignant cells but showed atypical cells, but tumor markers such as CA 19.9 and CA 125 were elevated. CT scan showed peritoneal nodularity suggestive of peritoneal carcinomatosis and peritoneal biopsy confirmed the diagnosis of peritoneal mesothelioma.
The initial treatment plan was to start neo-adjuvant therapy with Carboplatin and Pemetrexed, followed by debulking surgery and subsequent chemotherapy. She was started on Carboplatin and Pemetrexed however her clinical course was complicated by acute respiratory failure requiring mechanical ventilation, and cardiogenic shock requiring pressor support.
She eventually developed multi organ failure. Given her poor prognosis, she was made comfort measures only as per family request.
Discussion: MPM is a rare malignancy that affects the peritoneal cavity. The aggressive nature of disease and ambiguous presentation makes the diagnosis difficult and often delayed due to non-specific symptoms as in this index case.
MPM is strongly associated to asbestos exposure, other possible causes including irradiation, chronic inflammatory peritonitis, talc, erionite, or mica exposure and simian virus.
Presenting symptoms include; abdominal distension, bloating, abdominal pain, early satiety, weight loss and sometimes a palpable abdominal mass.
Ascitic fluid cytology could be helpful with the diagnosis but usually there are insufficient numbers of malignant cells present in ascites as was the case in our patient.
CT scan is crucial to assess the extent of disease and rule out other malignancies. Diagnosis confirmation must be done by tissue biopsy with immunohistological staining.
Despite multi-disciplinary treatment approach its prognosis remains poor with a median survival of 12 months from the time of diagnosis. Immune checkpoint inhibitors and other targeted therapies are in clinical development.
Conclusions: MPM is a rare and aggressive malignancy that presents with vague abdominal symptoms, and should be considered in any case of insidious onset ascites with equivocal paracentesis findings.

.jpg)