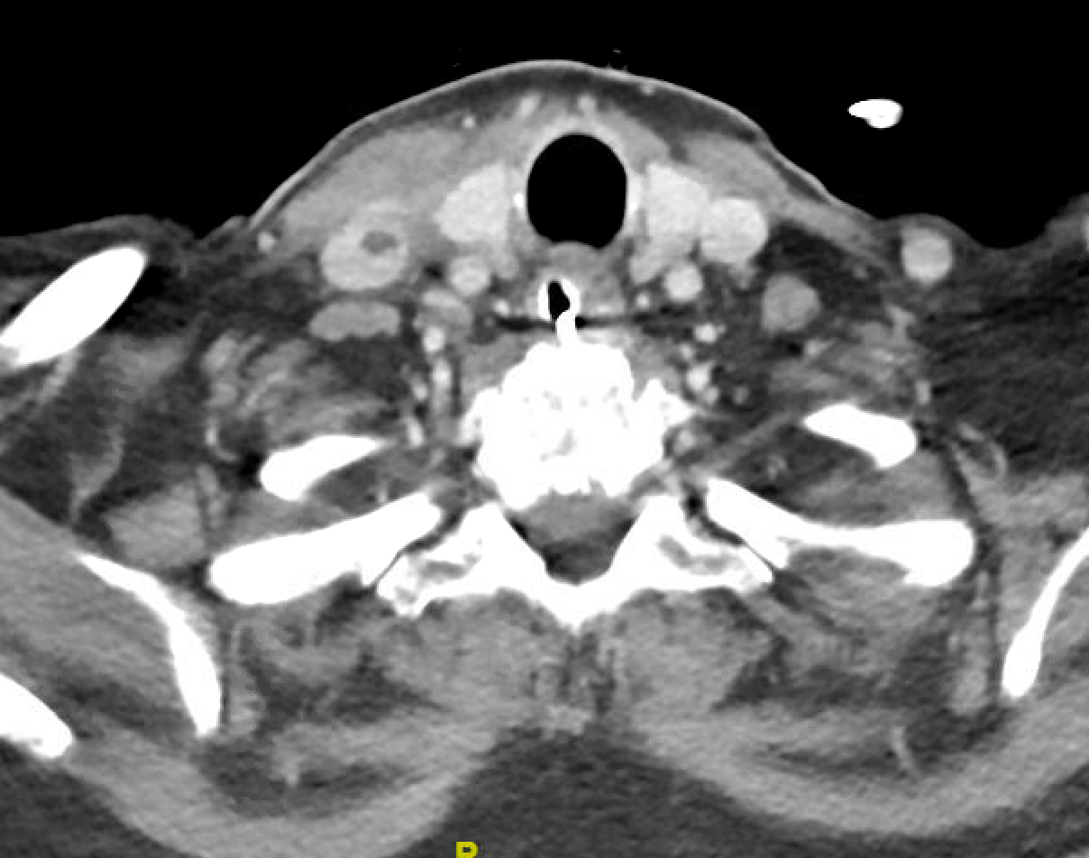
Case Presentation: A 77-year-old female was brought to the emergency with lethargy, confusion, fever for 3 days and neck pain. She had a recent trip to the Caribbean where she was taking Metamizole to manage neck pain. Her physical exam was notable for fever, sinus tachycardia, cervical lymphadenopathy, a muffled voice, and stridor. Initial blood work revealed pancytopenia with an absolute neutrophil count of 0.0. She was started on Cefepime, and a broad infectious workup was started. Viral serologies, blood parasites, and tick-borne illnesses were negative. Laryngoscopy revealed laryngeal edema, and she was intubated for airway protection. Imaging revealed neck edema and lymphadenopathy. Blood cultures were positive for Serratia marcescens. Bone marrow biopsy and flow cytometry were not consistent with malignancy or primary bone marrow failure. Treatment with granulocyte-colony stimulating factor was started, and neutrophil count improved after ten days. It was determined that the most likely etiology of pancytopenia was medication side effect from Metamizole. Cefepime was discontinued after 11 days of treatment and 48 hours without fever. She continued to have persistent cervical lymphadenopathy causing dysphagia, prompting re-evaluation. Repeat imaging demonstrated cervical suppurative lymphadenitis with abscess and a right internal jugular thrombosis, consistent with Lemierre’s syndrome. The abscess was drained and samples again grew S. marcescens. Patient was started on proper antibiotics based on sensitivity. Repeat ultrasound of the thrombus was stable without propagation, therefore anticoagulation was deferred. The patient was successfully discharged after significant clinical improvement.
Discussion: Metamizole is an analgesic medication that is banned in more than 30 developed countries, including the US, for major side effects including agranulocytosis. As Metamizole is still widely used as an over-the-counter analgesic in Latin America, Africa, and Asia, physicians should be aware of this potentially fatal complication when treating immigrants or travelers. Lemierre’s Syndrome is a rare complication of bacterial oropharyngeal infections that involves extension of the infection to the lateral pharyngeal space with subsequent septic thrombophlebitis of the jugular vein. It is commonly associated with Fusobacterium infection; however, cases have been reported with other organisms such as Enterobacteriaceae. Complications can arise from septic emboli, most commonly affecting the lungs. The pathogenesis of thrombophlebitis is unclear, but it is thought that the causative organism spreads hematogenously, through lymphatics, or via direct invasion due to mucosal tissue breakdown from a preceding infection. In this case, infection likely resulted from bacterial translocation precipitated by the patient’s immunocompromised state. Treatment usually requires antibiotics and surgical drainage. Anticoagulation is often unnecessary but can be considered if patients have continued septic emboli or clot progression despite antibiotic therapy.
Conclusions: Lemierre’s syndrome is a rare condition that can lead to potentially fatal metastatic infections, and it should be suspected in patients with recent oropharyngeal infections and immunocompromised patients that have signs of infection and evidence of neck or pulmonary involvement.
