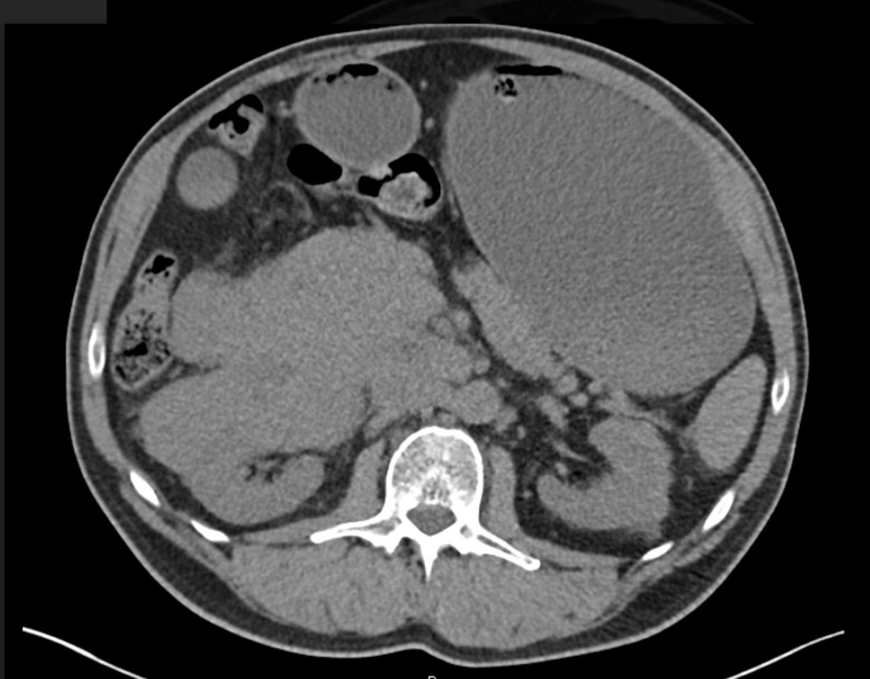
Case Presentation: A 68-year-old male with hypertension and benign prostatic hyperplasia presented with progressive abdominal distension and pain. He denied fever, weight loss, gastrointestinal bleeding, or any history of gastrointestinal diseases. Physical examination revealed a distended, non-tender abdomen with normal bowel sounds.Laboratory tests showed elevated lactate dehydrogenase (LDH) at 750 U/L, hyperuricemia at 9.0 mg/dL, and hypercalcemia at 11.5 mg/dL, suggesting a hematologic malignancy. Abdominal imaging revealed a 10 x 8 cm retroperitoneal soft tissue mass enveloping the renal vessels, inferior vena cava (IVC), and superior mesenteric vein. Initially, renal cell carcinoma was suspected, but biopsy confirmed diffuse large B-cell lymphoma (DLBCL).Shortly after admission, the patient developed nausea, non-bilious vomiting, and worsening abdominal distension, consistent with gastric outlet obstruction (GOO) caused by extrinsic compression from the lymphoma. A nasogastric (NG) tube was placed for decompression, and the patient was started on the R-CHOP chemotherapy regimen. Nutritional support via total parenteral nutrition (TPN) was provided, and over time, his symptoms improved, allowing for the removal of the NG tube.
Discussion: Gastric outlet obstruction (GOO) due to diffuse large B-cell lymphoma (DLBCL) is rare, accounting for only 1-2% of malignant GOO cases. GOO is typically associated with gastrointestinal cancers, such as gastric or pancreatic adenocarcinoma, making its occurrence in lymphoma patients an unusual clinical presentation. In this case, the retroperitoneal mass’s location and radiologic features initially suggested renal cell carcinoma, but elevated LDH, hyperuricemia, and hypercalcemia raised suspicion for hematologic malignancy, which was confirmed by biopsy.The management of lymphoma-associated GOO centers around chemotherapy, with the R-CHOP regimen (rituximab, cyclophosphamide, doxorubicin, vincristine, and prednisone) being the standard treatment. In this case, chemotherapy led to a reduction in tumor size and partial resolution of the obstruction. Supportive measures such as NG decompression and nutritional support (TPN) are crucial to maintaining patient stability during treatment. Surgical intervention is rarely necessary, as chemotherapy typically resolves the obstruction. However, endoscopic stenting can be considered in cases where immediate relief is required, though it is uncommon in lymphoma-related GOO.This case underscores the importance of considering DLBCL in the differential diagnosis for patients presenting with GOO and retroperitoneal masses, especially when laboratory findings suggest a hematologic malignancy.
Conclusions: Gastric outlet obstruction caused by diffuse large B-cell lymphoma is a rare but significant diagnostic consideration in patients presenting with obstructive symptoms and retroperitoneal masses. Early biopsy and prompt initiation of chemotherapy are critical for achieving favorable outcomes. The R-CHOP regimen remains the cornerstone of treatment, supported by symptomatic care to manage the obstruction.

