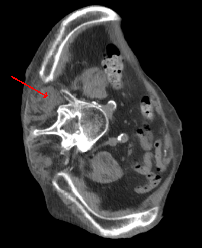
Case Presentation: An 87-year-old male presented to the emergency department following a syncopal episode, preceded by one week of generalized weakness, poor oral intake, and acute left leg pain. His medical history included heart failure with preserved ejection fraction (HFpEF), atrial fibrillation (AFib), chronic kidney disease (CKD) stage IV, rheumatoid arthritis (RA) managed with chronic steroids, and vertebral compression fractures.On presentation, he was hypotensive and in AFib with rapid ventricular response, which resolved with fluid resuscitation. Given concern for a pulmonary embolism, a CT angiogram was performed. While negative for embolism, imaging incidentally revealed new bilateral pulmonary nodules and multiple mass-like areas of enhancement scattered within the muscles of the lumbar spine and pelvis, raising suspicion for metastatic malignancy.An ultrasound of the left leg identified a new soft tissue mass, which, along with a left paraspinal mass, was biopsied. Pathology confirmed Nocardia cyriacigeorgica. The Infectious Disease team initiated treatment with linezolid and imipenem. Brain imaging subsequently revealed CNS dissemination. The patient’s hospital course was further complicated by serotonin syndrome, severe malnutrition, and profound deconditioning, limiting his ability to recover. Despite aggressive medical management, his overall condition continued to decline. Palliative medicine was consulted, and the patient was ultimately transitioned to comfort-focused care.
Discussion: Nocardiosis is a rare, opportunistic infection typically affecting immunocompromised individuals, though about a third of infections occur in immunocompetent individuals. This patient’s chronic prednisone use for RA predisposed him to this life-threatening infection with dissemination involving intracranial, intramuscular, and pulmonary masses. Patients with Nocardia infections often have an insidious symptom onset and subacute course. The diagnostic challenge of this case included imaging findings that mimicked malignancy. Furthermore, the patient did not demonstrate any respiratory or neurologic symptoms to suggest nocardiosis. Following biopsy-proven Nocardia results, further history taken revealed soil exposure through gardening as a new leisure activity within the past year.Treatment requires up to a year of antibiotic therapy, posing challenges such as adherence and adverse effects. Malnutrition was a major barrier to this patient’s recovery. Despite working with the nutrition team, his anorexia and nausea resulted in caloric deficits, exacerbating weakness. Severe physical debility further compounded his poor prognosis. Pain from chronic RA and vertebral fractures from osteoporosis limited his participation in therapy, creating a cycle of immobility and worsening outcomes. Overall, this case underscores the critical role of interdisciplinary care in managing complex cases of nocardiosis and stresses the importance of taking a thorough social history.
Conclusions: This case illustrates the significant challenges posed by disseminated nocardiosis in an immunocompromised patient. CNS involvement carries a mortality rate greater than 80%. The patient’s profound nutritional deficits, chronic pain, and physical debility hindered recovery. This highlights the importance of a multidisciplinary approach to optimize high-value patient-centered care in a complex medical situation.

