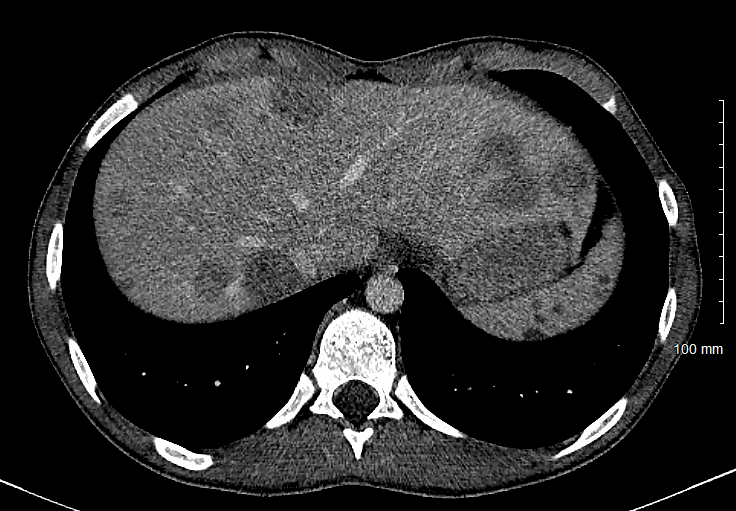
Case Presentation: A fifteen-year-old previously healthy male presented with one and a half months of intermittent right upper quadrant pain with one month of decreased appetite and weight loss. He was followed by his primary care physician who initiated an outpatient workup approximately two weeks into his disease course. A CT scan of the abdomen was obtained by the primary care physician, which noted numerous lesions in the liver and spleen. The patient was referred to the local Children’s Hospital where a broad workup was done including evaluation for infectious causes versus malignancy. The patient had no abnormal vital signs and an unremarkable physical exam. Laboratory findings were consistent with prolonged inflammation due to noted thrombocytosis and anemia of chronic disease. Biopsy was attempted by interventional radiology, but the observed lesion on CT was found to be caseated tissue and very little was able to be obtained. Shortly following this biopsy, antibody titers resulted strongly suggesting this patient had active or recent Bartonella henselae infection. He was treated with azithromycin for ten days and the patient noted rapid improvement in his symptoms.

Discussion: This case represents an illness hospitalists are likely to experience in their clinical work with an unusual presentation. Although hepatosplenic Bartonella infection is well described, it typically is associated with fever and localized lymphadenopathy. It is important to recognize the many and varied presentations of Bartonella and have a high index of clinical suspicion when evaluating hepatosplenic lesions. This case represents an unusual presentation of a relatively uncommon disease, as this patient had no associated fever or localized lymphadenopathy.
The patient in this vignette represents an excellent demonstration of an unusual presentation of a disease likely to be encountered in hospital medicine. Due to the relative infrequency of Bartonella infection, it may have a prolonged course prior to diagnosis due to low clinical suspicion. This case provides the opportunity to examine the varied clinical presentations of Bartonella, which includes retinal, neuropathic, arterial, endocarditis, pneumonia with effusion, and pseudomalignancy. This case may also serve as a tool for recalling common Bartonella infection and appropriate workup via Bartonella titers. Treatment of Bartonella is largely based in case control studies and is not well studied. Current treatment recommendations are azithromycin with the option to consider rifampin for systemic illness.

Conclusions: Bartonella is a relatively uncommon infectious disease, but it occurs with enough frequency that it is likely to be encountered in a hospital setting. Patients may present with other hospital concerns such as fever of unknown origin, pseudomalignancy, pneumonia, or neural findings. This case provides the opportunity to evaluate less prevalent presentations of disease and appropriate diagnostic evaluation and treatment.

IMAGE 1: CT of hepatic lesions