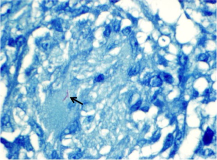
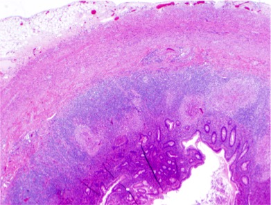
Case Presentation: A 22-year-old Hispanic male presented with a 4 day history of rectal and abdominal pain. He denied any previous medical history. He also noted three months of productive cough, pyrexia, chills, night sweats, fatigue, and weight loss. Physical examination revealed right lower quadrant tenderness accompanied by abdominal rigidity and involuntary guarding. The patient declined digital rectal examination. Labs were normal. Chest xray revealed biapical pleural thickening associated with parenchymal scarring, bronchiectasis, nodularity, and and superimposed infiltrates. CT of the abdomen revealed acute appendicitis and a peri-rectal abscess. The patient underwent laparoscopic appendectomy and drainage of the peri-rectal abscess. This was followed by bronchoscopy with BAL. Sputum, BAL, and cultures from peri-rectal abscess were positive for acid-fast bacilli. Histologic examination of the appendix revealed granulomatous inflammation with central necrosis, multi-nucleated giant cells, and acid-fast positive bacilli confirming tuberculous enteritis.
Discussion: Mycobacterium Tuberculosis (TB) is the second most common infectious cause of death worldwide. It may manifest in any organ system and mimic many different diseases. The respiratory system is most commonly affected. When the gastrointestinal system is involved, it is referred to as tuberculous enteritis. The ileocecum is most often affected with appendicular involvement a rare occurence. There are four main mechanisms which may lead to tuberculous enteritis. These include swallowing of infected sputum in active pulmonary tuberculosis, ingestion of contagious milk from cattle infected with bovine TB, direct extension from adjacent organs, and hematogenous spread. Once the bacillus enters the gastrointestinal, tract it traverses the mucosa to lodge in the submucosa leading to inflammatory changes including cellular infiltration, lymphatic hyperplasia, serosal, and submucosal edema. The eventual result of inflammation is production of granuloma which causes small papillary mucosal elevations, lymphangitis, endarteritis, and fibrosis. In due course mucosal ulceration develops along with caseating necrosis, and narrowing of the intestinal lumen leading to obstruction. We believe this patient may have either ingested sputum from active TB or he developed hematogenous spread from the pulmonary focus. Fortunately he presented earlier on in the disease process. He was started on Rifampin, Ethambutol, Isoniazid, and Pyrazinimide and achieved convalescence with further surveillance tests at different time intervals returning negative.
Conclusions: Gastrointestinal Tuberculosis is a rare disease in the Western Hemisphere albeit no longer as uncommon as thought to be. Early diagnosis of tuberculous enteritis is difficult because of the myriad of ways it can present. A high index of suspicion is required for expeditious diagnosis in patients identified to be at risk of succumbing to Mycobacterial infections.
.jpg)
.jpg)