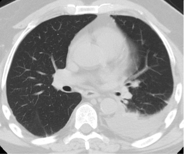
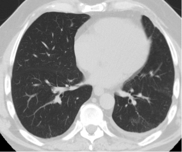
Case Presentation: A 63-year-old male presented to our institution with progressive dyspnea and associated hemoptysis of several days duration. He was a former cigarette smoker, having smoked approximately 1 pack per day for 45 years, who had recently transitioned to using electronic cigarettes, or “vaping,” 3 months prior. With regards to his vaping, he reported using both cannabidiol (CBD) and flavored solutions in attempts to abstain for further cigarette use. He had no recent respiratory illness and no documented history of malignancy, pulmonary embolism, COPD or other lung disorders. On admission, he was afebrile, oxygenating well and with stable hemodynamics. There was no leukocytosis and initial infectious work up was negative. Chest radiograph revealed a new left-sided pleural effusion. Subsequent CT angiogram of the chest and pulmonary arteries was without pulmonary embolism but confirmed the presence of the left-sided effusion. He underwent thoracentesis with the removal of 700 mL of serous fluid. Pleural studies were consistent with an exudative effusion by Light’s criteria. Cytology was negative for malignant cells. Repeat CT of the chest revealed an 8 mm pleural-based thickening on the right but no findings on the left. He was evaluated by pulmonology who recommended repeat CT imaging in 4 weeks and discontinuation of further electronic cigarette use. The patient felt significantly improved and repeat CT of the chest following abstinence from further vaping was without re-accumulation of the left-sided effusion. The pleural thickening noted on the right side appeared stable with no progression on repeat imaging.
Discussion: Electronic cigarettes, or e-cigarettes, are battery operated handheld devices that are used to heat fluids, often containing various flavorings, to generate vapor that can be inhaled. The use of these devices has also been described as “vaping’” and has become increasingly more popular since entering the United States market in 2006. Many individuals utilize electronic cigarettes for smoking cessation while others use them recreationally. The long-term health consequences of e-cigarette use remain largely unknown. Liquids are available both with and without nicotine and with various flavorings, the effects of which are uncertain. There have been links between several chemicals found in flavorings, such as benzaldehyde and diacetyl, and the development of respiratory irritation and disease, such as bronchiolitis obliterans with inhalation of aerosolized diacetyl used to make artificial butter flavoring. There have also been case reports of the development of pleural effusions with excessive use, pneumonia, and hypersensitivy pneumonitis.
Conclusions: The use of the relatively recent advent of electronic cigarettes, often referred to colloquially as “vape” or “vaping”, have been gaining in popularity both as a means for assisting with smoking cessation and purely recreationally. The long-term health consequences of these devices remain unknown. Certain additives and flavorings, however, have been linked with the development of respiratory pathology.

