Case Presentation: A 52-year-old homeless man with a history of a remote stroke with residual left sided hemiparesis and dysarthria, and poorly controlled diabetes presented with fever, diarrhea, left sided body pain and altered mental status for two days.The initial vital: tachycardia and temperature of 101.2 F. On exam, he had poor dentition, dysarthria, left-sided facial paresis and spastic hemiparesis. Otherwise physical exam was unremarkable.
The laboratory values on admission included Hb of 9.4 g/dl and WBC of 7000/mcL with 14% bands. The comprehensive metabolic panel was normal. HIV and Influenza tests were negative. Urinalysis was within normal limits. ECG was remarkable for sinus tachycardia. The chest radiograph showed clear lungs.
CT-head demonstrated a right frontal-insular hypodensity and the brain MRI confirmed an acute right MCA-territory infarct.
During the hospital course, fever resolved on the third day without antibacterial treatment.
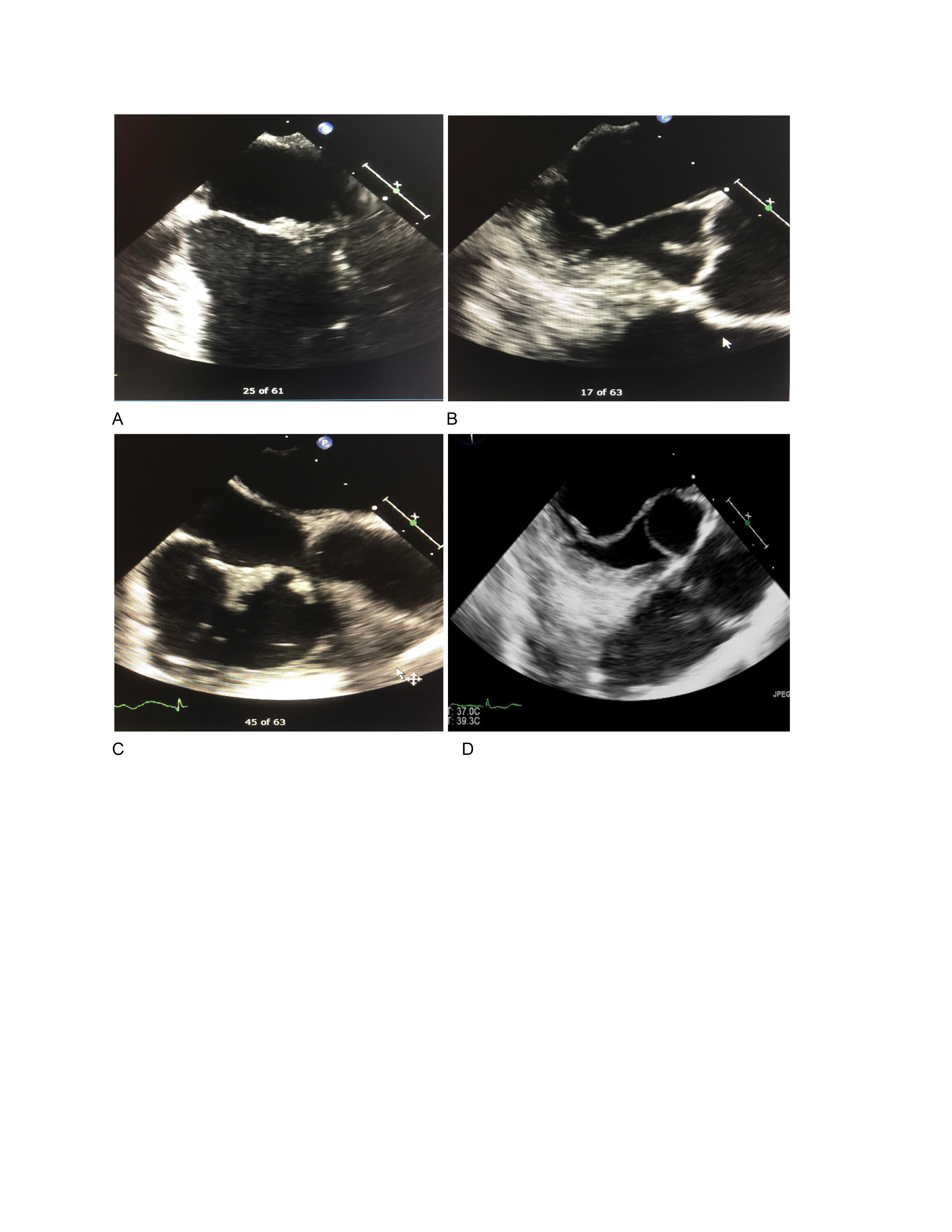
Transthoracic echocardiography (TTE) revealed thickening of aortic, mitral, and tricuspid valves and possible mobile, soft-tissue masses consistent with vegetations on the aortic and mitral valves.
Transesophageal echocardiography (TEE) revealed soft-tissue masses consistent with vegetations on all valves (Aortic valve 12 x 3 mm, Mitral valve 13 x 3 mm, Tricuspid valve 14 x 19 mm and Pulmonic valve: ill-defined mass).
Empiric broad spectrum antibiotics were started for infectious endocarditis. Blood cultures were negative on multiple occasions.
Further Infectious workup revealed a strongly-positive serology for Bartonella henselae IgG (> 1:1024) and quintana Ig G (> 1:1024) and antibiotics were tailored accordingly.
Causes of non-bacterial thrombotic endocarditis were ruled out by negative workups for malignancy, hypercoagulable state and autoimmune processes.
After 6 weeks of the treatment, TTE showed the vegetations had significantly decreased in size and serum inflammatory markers had normalized.
Discussion: Bartonella spp. are fastidious Gram-negative bacteria that cause blood culture-negative endocarditis and are the source of up to 3% of all cases of infective endocarditis.
Risk factors include: homelessness, alcoholism, HIV, infestation with body lice, contact with cats and previous valvular disease.
We presented the case of an middle-aged immunocompetent man with four-valve endocarditis caused by Bartonella.
In this case, cardioembolic stroke was suspected and the TTE was performed which revealed possible vegetations leading to the TEE finding of quadruple-valve endocarditis.
Diagnosis of Bartonella endocarditis was established based on serological tests and failure to isolate an alternative organism.
The patient was successfully treated with antibiotics and did not require surgical treatment.
Conclusions: Bartonella endocarditis is a clinical and diagnostic challenge and is commonly missed due to its subacute clinical course, presence of nonspecific symptoms and lack of criteria for diagnosis. Echocardiography plays a pivotal role in the diagnosis of endocarditis as a source of embolism.
To our knowledge, this is the first reported case of quadruple-valve endocarditis caused by Bartonella.
.jpg)